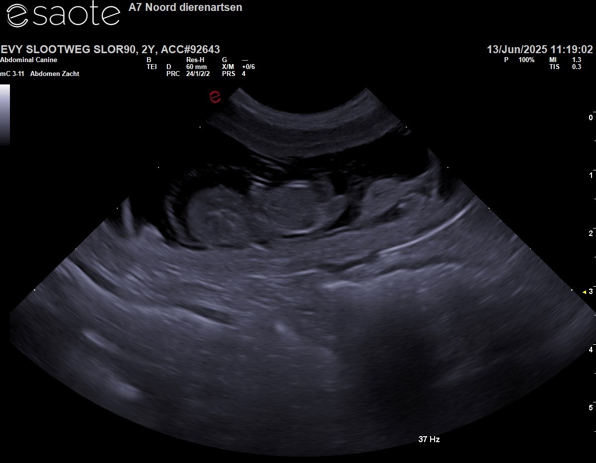
Vandaag zijn wij met Evy naar de dierenarts geweest voor een Echo en daarmee is bevestigd dat ze zwanger is. Hieronder de foto.

Vandaag zijn wij met Evy (foto links) afgereisd naar Duitsland voor een dekking met haar nieuwe vriend Xirow von der Beyenburg (foto rechts). Beide honden voldoen aan het verenigings Fokregelement van de CSC. Wij hopen halverwege Juni de Echo met goed nieuws te kunnen delen.


Vandaag hebben we gesproken met de nieuwe eigenaren voor Finnley. Dat is een match gebleken en zodra ze alles in orde hebben thuis om Finnley te huisvesten dan gaat hij daar naartoe.
Vandaag is C'mas Prancer of the Ronerfields bij ons teruggekeerd. Door persoonlijke omstandigheden kon hij niet meer bij zijn baasje blijven. Hierdoor zijn wij opzoek naar een nieuw huisje voor hem. Hij is 4 jaar oud en heeft een hart van goud. Hij heeft voorheen niet met andere honden geleefd maar nu hij bij ons is merken wij dat hij dit wel kan. Hij kan zeker wat activiteit gebruiken, maar is dit niet gewend. Hij zal iemand nodig hebben die veel tijd en aandacht voor hem heeft, aandacht is een echte motivator voor Finn. Voor een knuffel doet hij alles.

Vandaag kwam Masha's (Ruaban of the Ronerfields from Shadow dog) Kroatische veteranen kampioenschap binnen.

Op de show in Genk hebben wij 2 honden uitgebracht. Dag 1: C'mas Dasher of the Ronerfields 1U in kampioensklasse, BOB, CAC&CACIB, Selected in group 7. Dag 2: Hugs 'N Tugs Wicked Evy 4U in open klasse.

